Стоматологическая клиника Дентал Эксперт на улице Чернышевского

Популярные услуги

Акции и скидки

Имплантация под ключ 49.900 рублей
Срок действия
Постоянная акция
Приведи друга — получи 500 бонусных рублей
Срок действия
Постоянная акция
Профессиональная гигиена полости рта за 4950 рублей*
Срок действия
Постоянная акция

Подробнее о компании Дентал Эксперт

На сегодняшний день уровень развития медицины позволяет как муниципальным, так и частным клиникам оказывать широкий спектр услуг.

Стоматологическая клиника Дентал Эксперт - это учреждение широкого профиля, предлагающее специально подобранный комплекс процедур и услуг для каждого клиента. В клинике всё организовано с учетом максимального комфорта для посетителей. Техническое оснащение кабинетов позволяет провести диагностику организма пациента для составления плана лечения и профилактики. Наши врачи имеют высокую квалификацию и внимательно отнесутся к каждой вашей просьбе. Доверяя свое здоровье нам, вы можете не сомневаться в положительном результате.

Если вы собираетесь добиться сияющей улыбки, то работу над ней лучше доверить профессионалам. В стоматологической клинике Дентал Эксперт имеется все необходимое для того, чтобы ваши зубы засияли. В нашей стоматологии готовы предоставить услуги лечения кариеса, удаления зубов, компьютерной томографии, рентгенологической диагностики, изготовления имплантов, а также установки металлокерамики, имплантов, виниров. С нашими специалистами ваша улыбка будет в надежных руках!

В своей работе мы применяем.

Записаться на консультацию к нужному специалисту можно по телефону.

Наш рейтинг на порталах
Способы оплаты
через приложение, картой, наличные, QR код, через банк

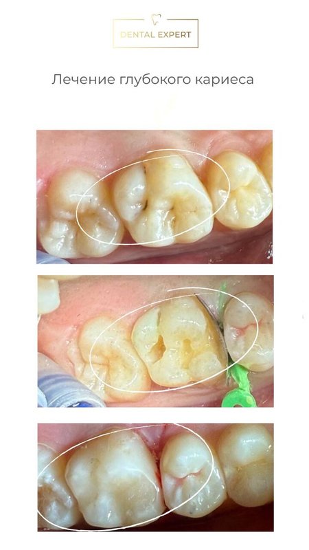
Фотогалерея

Специалисты

Дмитрий Александрович Пархоменко
Дмитрий Александрович Пархоменко

Пархоменко Дмитрий Александрович работает в сфере стоматологической хирургии. Дмитрий Пархоменко в том числе обладает знаниями и навыками в области эстетической реставрации зубов, устанавливает безметалловые протезы, штифты, вкладки и виниры, а также выполняет несъемное и съемное протезирование зубов. Помощь стоматолога-хирурга может понадобиться не только при необходимости удалить сильно поврежденный зуб. Дмитрий Пархоменко также производит лечение челюстных артритов, удаление кист и даже эстетическая пластика десен.

Дмитрий Пархоменко является врачом высшей категории.

Надежда Андреевна Шмелева
Надежда Андреевна Шмелева

Шмелева Надежда Андреевна является стоматологом-терапевтом. Надежда Шмелева в том числе специализируется на заболеваниях полости рта, а также занимается лечением пульпита. Вы можете обратиться к нему не только если состояние ваших зубов ухудшилось, но также при патологиях ротовой полости.

Надежда Шмелева.

Других специалистов пока нет в списке
Новые специалисты появятся позже

Лицензии, награды, сертификаты

Отзывы

0,0
Ирина
Я была приятно удивлена качеством работы и результатом - мои зубы выглядят и чувствуют себя отлично. Теперь с уверенностью улыбаюсь, зная, что моя улыбка в надежных руках. Рекомендую эту клинику всем, кто ценит качество и заботу о своем здоровье.
13 марта 2024 Отзыв взят с сайта Zoon.ru
Отзывы периодически дополняются
Удалить отзыв

Остались вопросы?

Вы можете воспользоваться любым из указанных способов связи
Контактный номер
+7 (983) 286-83-... Показать
Мессенджеры